درمان با الاینر و پاسخ بافتی الاینر: راهنمای علمی و بالینی برای ارتودنتیستها و بیماران
مقدمه
پلاک شفاف ارتودنسی (کلیر الاینر) یکی از پیشرفتهترین روشهای درمان ارتودنسی مدرن است. این وسیله از جنس پلاستیک شفاف و مقاوم ساخته میشود و بهصورت تدریجی و مرحلهبهمرحله دندانها را به جای صحیح خود هدایت میکند.
برخلاف براکتهای فلزی سنتی که روی دندانها ثابت میشوند، الاینرها قابل خارج کردن هستند؛ یعنی بیمار میتواند هنگام غذا خوردن یا مسواک زدن آنها را بیرون بیاورد. همین ویژگی باعث شده الاینرها به عنوان «ارتودنسی نامرئی» شناخته شوند.
اما استفاده از الاینر فقط به مسئله زیبایی مربوط نیست — بلکه یک فرآیند بیولوژیک و بیومکانیکی پیچیده است. فشارهای تدریجی، واکنش بافتهای لثه و استخوان، و حتی تغییر در میکروبیوم (جمعیت میکروبهای دهان) در این درمان نقش دارند. در این مقاله، با زبانی ساده و درعینحال علمی، این جنبهها را بررسی میکنیم.

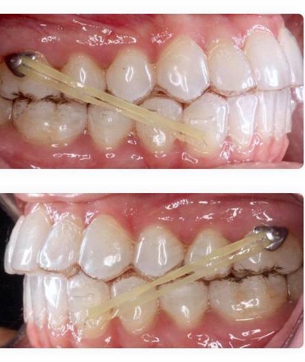
در این تصویر مراحل مختلف درمان نمایش داده شده است — از قرار دادن الاینر روی دندان تا تعامل آن با محیط میکروبی و کاربرد ابزارهای کمکی مانند مینیاسکرو برای افزایش دقت حرکت دندانها.
اکوسیستم میکروبی داخل الاینر
وقتی بیمار الاینر را روی دندانهای خود قرار میدهد، سطحی تقریباً بسته بین دندان و پلاک ایجاد میشود. در این فضا، جریان بزاق و اکسیژن کاهش پیدا میکند، و همین مسئله میتواند باعث رشد بعضی باکتریها شود.
اگر الاینر بهصورت منظم تمیز نشود، بیوفیلم میکروبی (لایه نازکی از میکروبها) روی سطح داخلی آن شکل میگیرد. این بیوفیلم میتواند باعث بوی بد دهان، التهاب لثه و حتی پوسیدگی دندان شود.
با این حال، مطالعات نشان دادهاند که در مقایسه با براکتهای فلزی، میزان تجمع میکروب در الاینر کمتر است — به شرطی که تمیز کردن روزانه رعایت شود.

برای پیشگیری از مشکلات میکروبی:
بهترین کار شستوشوی روزانه الاینر با آب ولرم و صابون ملایم است. از جوشاندن یا مواد سفیدکننده استفاده نکنید چون باعث تغییر شکل پلاستیک میشود. همچنین توصیه میشود الاینر هنگام خوردن غذا یا نوشیدنی رنگدار برداشته شود.

پاسخ بافتهای دهان به نیروهای الاینر
وقتی الاینر روی دندان قرار میگیرد، فشار ملایمی به ریشه و بافت اطراف وارد میشود. بدن در برابر این نیرو واکنش طبیعی نشان میدهد: استخوان در سمتی که دندان حرکت میکند تحلیل میرود و در سمت مخالف بازسازی میشود. این همان مکانیزم اصلی حرکت دندان است.
اگر نیروها بیش از حد یا بدون برنامهریزی اعمال شوند، ممکن است لثهها تحریک شوند و در طول زمان تحلیل پیدا کنند.
به همین دلیل متخصص ارتودنسی باید وضعیت لثه و استخوان فک را پیش از شروع درمان بررسی کند.
در بیماران با سابقه التهاب لثه یا بیماریهای پریودنتال، مراحل درمان باید کوتاهتر و با بررسیهای مکرر انجام شود.
اختلاف بین طرح دیجیتال و حرکت واقعی دندانها
درمان با الاینر از طریق نرمافزارهای طراحی دیجیتال انجام میشود. در این نرمافزارها موقعیت نهایی دندانها پیشبینی و برای هر مرحله یک الاینر جداگانه ساخته میشود.
اما در عمل، دندانها همیشه دقیقاً مطابق طرح دیجیتال حرکت نمیکنند.
بهطور میانگین، حرکت واقعی دندانها ممکن است تا ۳۰ تا ۵۰ درصد از برنامه طراحی عقبتر باشد.
دلایل این اختلاف شامل مواردی مثل مقاومت بافت لثه، جنس و ضخامت الاینر، یا نحوه قرارگیری آن در دهان است. برای جبران این مسئله، متخصص از مرحلهای به نام Refinement ( اصلاح درمان) استفاده میکند. در این مرحله، الاینرهای جدید بر اساس موقعیت واقعی دندانها طراحی میشوند تا نتیجه دقیقتر شود.

بیومکانیک پیشرفته در طراحی الاینرها
هر الاینر فقط یک قالب ساده نیست؛ بلکه با محاسبات دقیق بیومکانیکی طراحی میشود تا نیروها بهدرستی به دندانها منتقل شوند.
در این طراحی از اجزایی مثل اتچمنتها (برجستگیهای کوچک روی دندان) و cutoutها (برشهای خاص در الاینر) استفاده میشود تا نیروها دقیقتر هدایت شوند. بهعنوان مثال، برای چرخش دندان نیش از اتچمنتهای کشیده و زاویهدار استفاده میشود، درحالیکه برای حرکت عمودی دندان از cutoutهای خاص بهره گرفته میشود.
همچنین بعضی از الاینرها از مواد چندلایه (multi-layer) ساخته میشوند تا در هر مرحله، میزان سختی و فشار متفاوتی به دندانها وارد شود — این باعث حرکت ملایمتر و کنترلشدهتر میشود.
ترکیب الاینر با مینیاسکرو و کشهای بینفکی
در برخی بیماران، فقط الاینر برای جابهجایی دندانها کافی نیست. به همین دلیل، گاهی از مینیاسکروها (پیچهای بسیار ظریف که در استخوان فک قرار میگیرند) و کشهای بینفکی همراه با الاینر استفاده میشود. مینیاسکرو نقش نقطهی تکیهگاه (انکوریج) را دارد و به پزشک اجازه میدهد نیروهای اضافی را به جهت خاصی اعمال کند — مثلاً برای حرکت دادن یک دندان مولر یا اصلاح بایت عمیق.
کشهای بینفکی هم در مواردی که نیاز به تغییر موقعیت فک بالا و پایین است به کار میروند.
این ترکیب از ابزارها که به آن Hybrid Aligner Mechanics گفته میشود، به ارتودنتیست امکان میدهد حتی موارد پیچیدهتر را بدون براکت فلزی درمان کند

جمعبندی
پلاک شفاف ارتودنسی فقط وسیلهای زیبایی نیست، بلکه ابزاری علمی است که با درک دقیق از فیزیولوژی دهان طراحی میشود.
درمان موفق با الاینر نیازمند همکاری بیمار (در استفاده منظم و تمیز نگهداشتن آن) و تخصص پزشک (در طراحی دقیق، کنترل نیرو و پایش مداوم حرکت دندانها) است.
ترکیب فناوری دیجیتال با ابزارهای کمکی مانند مینیاسکرو و کشهای بینفکی، آیندهای دقیقتر و ایمنتر برای ارتودنسی نامرئی رقم میزند.
در صورت هرگونه سوال و یا ابهام پیرامون درمان با کلیر الاینر می توانید هم اکنون با همکاران و دوستان ما از وب سایت خانم دکتر پروین خرازی، در ارتباط باشید.
برای اطلاع از بهترین روش درمان و دریافت مشاوره تخصصی، میتوانید با کلینیک دکتر پروین خرازی تماس بگیرید تا لبخندی زیبا و زندگیای شادتر را تجربه کنید.
منابع:
https://bmcoralhealth.biomedcentral.com/articles/10.1186/s12903-025-06295-6?utm_source=chatgpt.com
https://www.mdpi.com/2076-3417/15/17/9514?utm_source=chatgpt.com